علائم حساسیت به ایمپلنت و راهکارهای جلوگیری از آن
همانند هر جسم خارجی وارد شده به بدن، ایمپلنت ها می توانند در موارد نادر منجر به واکنش های آلرژیک یا حساسیت های موضعی شوند. این واکنش ها که به عنوان حساسیت به ایمپلنت شناخته می شوند، می توانند طول عمر درمان و سلامت بافت اطراف ایمپلنت را تحت تأثیر قرار دهند. شناخت علائم حساسیت به ایمپلنت و عوامل خطر مرتبط، علاوه بر تشخیص به موقع، امکان پیشگیری و مدیریت مناسب را فراهم می کند. هدف این مقاله بررسی علمی و عملی علائم حساسیت، عوامل خطر، روش های تشخیصی و راهکارهای پیشگیری است تا دندانپزشکان و بیماران بتوانند با اطمینان بیشتری از ایمپلنت ها استفاده کنند.
تعریف حساسیت به ایمپلنت دندانی
حساسیت به ایمپلنت دندانی به واکنش های ایمنی بدن نسبت به مواد ایمپلنت یا اجزای پروتزی آن، به ویژه تیتانیوم و آلیاژهای فلزی، گفته می شود. این واکنش ها اغلب از نوع پاسخ ایمنی تأخیری (Type IV) بوده و معمولاً به صورت موضعی و در موارد نادر به شکل سیستمیک بروز می کنند.
با وجود زیست سازگاری بالای تیتانیوم، در برخی افراد مستعد آزاد شدن یون ها یا ذرات فلزی می تواند سیستم ایمنی را تحریک کند. اگرچه شیوع این حساسیت کمتر از ۱٪ است، اما به دلیل تأثیر آن بر موفقیت درمان ایمپلنت، تشخیص به موقع از اهمیت بالایی برخوردار است.
انواع حساسیت به ایمپلنت دندانی
حساسیت به ایمپلنت از نظر مکانیسم ایمنی و تظاهرات بالینی به چند دسته اصلی تقسیم می شود:
حساسیت موضعی (Local Hypersensitivity)
شایع ترین شکل حساسیت به ایمپلنت است و معمولاً در بافت های اطراف ایمپلنت بروز می کند. این نوع حساسیت اغلب به دلیل واکنش ایمنی تأخیری نسبت به یون های فلزی آزادشده از تیتانیوم، نیکل، وانادیوم یا آلومینیوم موجود در آلیاژهای ایمپلنت ایجاد می شود.
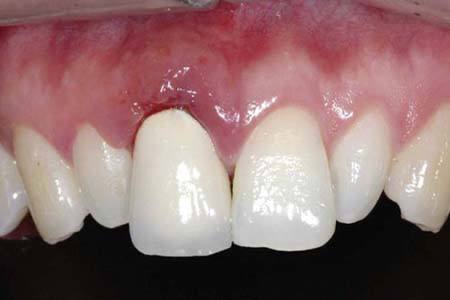
علائم بالینی می تواند شامل التهاب مزمن بافت نرم اطراف ایمپلنت، قرمزی، درد غیرقابل توجیه، خونریزی مداوم، تأخیر در ترمیم بافت و در موارد پیشرفته، تحلیل استخوان کرستال بدون علت عفونی مشخص باشد. ورم بعد ایمپلنت در صورتی که طولانی مدت و مقاوم به درمان های معمول باشد، می تواند مطرح کننده واکنش ایمنی و حساسیت به ایمپلنت باشد. این وضعیت ممکن است از نظر بالینی با پری ایمپلنتایتیس اشتباه گرفته شود، در حالی که منشأ آن ایمونولوژیک است نه باکتریال.
حساسیت سیستمیک (Systemic Hypersensitivity)

این نوع واکنش بسیار نادر است، اما اهمیت بالینی دارد. در حساسیت سیستمیک، پاسخ ایمنی بدن فراتر از ناحیه ایمپلنت گسترش یافته و می تواند علائمی مانند بثورات پوستی، خارش، کهیر، خستگی مزمن، سردرد یا دردهای مفصلی ایجاد کند.
مکانیسم این واکنش معمولاً به جذب یون های فلزی در جریان خون و تحریک سیستم ایمنی در افراد با سابقه آلرژی های فلزی یا بیماری های خودایمنی مرتبط است. تشخیص این نوع حساسیت دشوار بوده و نیازمند بررسی های تخصصی مانند Patch Test یا آزمایش های ایمونولوژیک پیشرفته است.
واکنش التهابی وابسته به ذرات (Particle-induced Inflammatory Reaction)
در این حالت، حساسیت کلاسیک آلرژیک مطرح نیست، بلکه پاسخ التهابی بدن نسبت به ذرات میکروسکوپی آزادشده از سطح ایمپلنت یا قطعات پروتزی (به ویژه در اثر سایش، میکروموومنت یا خوردگی گالوانیک) ایجاد می شود.
این ذرات می توانند ماکروفاژها را فعال کرده و منجر به ترشح سایتوکاین های التهابی مانند TNF-α و IL-1 شوند که در نهایت باعث تحلیل استخوان اطراف ایمپلنت و کاهش پایداری آن می گردد. از نظر بالینی، این وضعیت می تواند به شکست تدریجی ایمپلنت منجر شود بدون آنکه علائم واضح عفونت وجود داشته باشد.
حساسیت به اجزای پروتزی و مواد جانبی
در برخی بیماران، واکنش ایمنی نه به خود فیکسچر ایمپلنت، بلکه به اجزای پروتزی مانند اباتمنت ها، آلیاژهای روکش، سیمان های دندانی یا مواد قالب گیری مرتبط است. این نوع حساسیت معمولاً به صورت التهاب مخاط، احساس سوزش، یا تغییرات مخاطی مزمن بروز می کند و با تعویض ماده محرک قابل کنترل است.
علائم بالینی حساسیت به ایمپلنت دندانی
یکی از شایع ترین نشانه های حساسیت، بروز مشکلات لثه در ایمپلنت از جمله التهاب مزمن، قرمزی و تغییرات غیرطبیعی بافت نرم اطراف ایمپلنت است. حساسیت به ایمپلنت دندانی معمولاً به صورت تدریجی و بدون الگوی واضح عفونی بروز می کند و ممکن است با عوارضی مانند پری ایمپلنتایتیس یا مشکلات مکانیکی اشتباه شود. تشخیص بر اساس ترکیبی از علائم بالینی، یافته های رادیوگرافیک و بررسی های تشخیصی انجام می شود. مهم ترین تظاهرات بالینی عبارت اند از:
- التهاب مزمن بافت نرم اطراف ایمپلنت شامل قرمزی، تورم و درد مبهم که به درمان های معمول پاسخ مناسبی نمی دهد و اغلب بدون ترشح چرکی است.
- احساس خارش یا سوزش غیرطبیعی در ناحیه ایمپلنت که می تواند نشانه واکنش ایمنی باشد، به ویژه در بیماران با سابقه آلرژی فلزی.
- تحلیل استخوان اطراف ایمپلنت بدون علت عفونی مشخص که به صورت پیشرونده در رادیوگرافی ها دیده شده و موجب کاهش ثبات ایمپلنت می شود.
- تغییرات مخاطی یا واکنش های پوستی مانند تغییر رنگ مخاط، ضایعات شبه لیکن پلان یا در موارد نادر علائم پوستی سیستمیک. در برخی بیماران، سیاه شدن لثه بعد ایمپلنت می تواند ناشی از واکنش بافت نرم به فلزات ایمپلنت یا اجزای پروتزی باشد.
- اختلال در اسئواینتگریشن و لق شدن ایمپلنت علی رغم رعایت صحیح اصول جراحی و بارگذاری.
عوامل خطر و مستعدکننده ها
مطالعات علمی نشان داده اند که برخی عوامل می توانند خطر بروز حساسیت به ایمپلنت را افزایش دهند:
- مواد ایمپلنت: تیتانیوم و آلیاژهای فلزی که در تولید ایمپلنت ها استفاده می شوند، معمولاً بیولوژیک و سازگار هستند، اما در موارد نادر می توانند ایجاد واکنش ایمنی کنند.
- آلرژی های پیشین: بیمارانی که سابقه حساسیت به فلزات، لاتکس یا سایر مواد دارند، احتمال واکنش به ایمپلنت در آن ها بیشتر است.
- بیماری های سیستمیک: اختلالات ایمنی، آلرژی های شدید یا بیماری های خودایمنی، ممکن است زمینه ساز حساسیت شوند.
- بهداشت دهان و بارگذاری ایمپلنت: التهاب مزمن ناشی از عدم رعایت بهداشت یا بارگذاری بیش از حد پروتز می تواند واکنش های موضعی را تشدید کند.
روش های تشخیص حساسیت به ایمپلنت دندانی
تشخیص حساسیت به ایمپلنت دندانی فرآیندی چندمرحله ای است و بر اساس ترکیبی از ارزیابی های بالینی، تصویربرداری رادیولوژیک و تست های آزمایشگاهی انجام می شود. از آنجا که علائم حساسیت می توانند با عفونت ایمپلنت
یا مشکلات مکانیکی همپوشانی داشته باشند، تشخیص صحیح نیازمند رویکردی سیستماتیک و رد سایر علل شایع شکست ایمپلنت است. مهم ترین روش های تشخیصی عبارت اند از:
1.معاینه بالینی دقیق
در معاینه بالینی، وضعیت بافت نرم اطراف ایمپلنت از نظر وجود تورم، قرمزی، حساسیت موضعی، درد مبهم، تغییر رنگ مخاط و واکنش های غیرطبیعی بافتی بررسی می شود. التهاب مزمن و پایدار که به درمان های معمول پری ایمپلنت پاسخ مناسب نمی دهد، می تواند مطرح کننده حساسیت ایمونولوژیک باشد. همچنین ارزیابی سابقه آلرژی های فلزی یا واکنش های حساسیتی قبلی بیمار اهمیت ویژه ای دارد.
2.بررسی های رادیوگرافیک
تصویربرداری رادیوگرافیک، به ویژه رادیوگرافی پری اپیکال یا CBCT، برای ارزیابی میزان و الگوی تحلیل استخوان اطراف ایمپلنت انجام می شود. تحلیل استخوان پیشرونده بدون شواهد واضح عفونت یا بارگذاری نامناسب، می تواند به نفع واکنش ایمنی نسبت به مواد ایمپلنت باشد. بررسی تطابق ساختاری ایمپلنت و نبود شکست یا نقص مکانیکی نیز در این مرحله ضروری است.
3.تست های آلرژی و ارزیابی های ایمونولوژیک
تست های آزمایشگاهی نقش تکمیلی در تشخیص حساسیت به ایمپلنت دارند و شامل موارد زیر هستند:
- Patch Test (تست پچ پوستی): برای شناسایی حساسیت تأخیری به فلزات مانند تیتانیوم، نیکل، کبالت یا آلیاژهای پروتزی استفاده می شود. این تست بیشتر برای بررسی واکنش های موضعی مفید است.
- Lymphocyte Transformation Test (LTT یا MELISA): جهت ارزیابی پاسخ لنفوسیت های T به یون های فلزی در سطح سیستمیک به کار می رود و در موارد مشکوک به حساسیت سیستمیک ارزش تشخیصی بالاتری دارد.
لازم به ذکر است که نتایج این تست ها باید همواره در کنار یافته های بالینی تفسیر شوند و به تنهایی معیار قطعی تشخیص نیستند.
4.ارزیابی پاسخ به مداخلات درمانی
در برخی موارد، تشخیص حساسیت به صورت غیرمستقیم و بر اساس پاسخ بیمار به درمان انجام می شود. کاهش یا رفع علائم پس از تعویض اجزای پروتزی، استفاده از مواد جایگزین با زیست سازگاری بالاتر (مانند زیرکونیا) یا حذف عوامل مشکوک، می تواند به عنوان شواهد تأییدکننده حساسیت در نظر گرفته شود. این رویکرد معمولاً زمانی به کار می رود که سایر علل عفونی و مکانیکی به طور کامل رد شده باشند.
نکته بالینی مهم: هیچ تست واحدی به تنهایی قادر به تشخیص قطعی حساسیت به ایمپلنت نیست. تشخیص نهایی زمانی معتبر است که تطابق منطقی بین علائم بالینی، یافته های رادیولوژیک، نتایج آزمایشگاهی و پاسخ به درمان وجود داشته باشد.
مدیریت اولیه و راهکارهای موقت حساسیت به ایمپلنت

در موارد خفیف حساسیت به ایمپلنت دندانی، رویکرد درمانی معمولاً محافظه کارانه است و با هدف کنترل التهاب و کاهش تحریک سیستم ایمنی انجام می شود. اقداماتی مانند بهبود بهداشت دهان، استفاده از دهان شویه های ضدالتهابی، کاهش بارگذاری پروتز و اصلاح تماس های اکلوزالی می توانند به کاهش علائم کمک کنند. در این مرحله، پایش بالینی منظم اهمیت زیادی دارد.
در برخی موارد، استفاده از PRF در ایمپلنت می تواند به کاهش التهاب و بهبود ترمیم بافت نرم اطراف ایمپلنت کمک کند. در موارد شدید، پایدار یا پیشرونده که به درمان های محافظه کارانه پاسخ نمی دهند، تعویض قطعات پروتزی و در صورت لزوم خارج سازی ایمپلنت، به عنوان گزینه درمانی مطرح می شود.
راهکارهای پیشگیری و مدیریت حساسیت به ایمپلنت دندانی
پیشگیری از حساسیت به ایمپلنت نقش کلیدی در افزایش موفقیت درمان و حفظ سلامت بافت های اطراف دارد. این امر بر سه اصل اساسی استوار است: انتخاب مواد مناسب، ارزیابی دقیق بیمار و پایش منظم پس از درمان.
انتخاب مواد ایمپلنت و پروتز
استفاده از مواد با زیست سازگاری بالا، خطر بروز واکنش های ایمنی را به حداقل می رساند. ایمپلنت های ساخته شده از تیتانیوم خالص یا آلیاژهای تیتانیوم–زیرکونیوم، کمترین میزان حساسیت را نشان می دهند. همچنین به کارگیری پروتزهای سرامیکی یا اجزای پروتزی با پوشش های زیست سازگار می تواند تماس مستقیم فلز با بافت نرم را کاهش دهد. دقت ساخت و استفاده از قطعات استاندارد و صیقلی، نقش مهمی در پیشگیری از تحریک مزمن بافت دارد.
ارزیابی بیمار پیش از درمان
بررسی سابقه آلرژی های فلزی، بیماری های سیستمیک مانند دیابت یا اختلالات خودایمنی و عادات دهانی نظیر براکسیسم، پیش از کاشت ایمپلنت ضروری است. در بیماران پرخطر، انجام تست های آلرژی پیش از درمان می تواند به انتخاب مناسب ترین نوع ایمپلنت و پروتز کمک کند.
مدیریت بهداشت و بارگذاری پس از کاشت
رعایت دقیق بهداشت دهان، استفاده از دهان شویه های ضدالتهابی، طراحی صحیح پروتز و توزیع متعادل نیروهای اکلوزالی از عوامل کلیدی در کاهش تحریک بافت و پیشگیری از حساسیت هستند. معاینات دوره ای و بررسی های رادیوگرافیک امکان تشخیص زودهنگام التهاب یا تحلیل استخوان را فراهم می کنند.
مدیریت حساسیت در مراحل اولیه
در صورت بروز علائم اولیه حساسیت، اصلاح طراحی پروتز، تغییر مواد قطعات پروتزی، کاهش بارگذاری و استفاده محدود از داروهای ضدالتهابی می تواند واکنش ایمنی را کنترل کند. در مواردی که علائم علی رغم این اقدامات ادامه دار یا پیشرونده باشند، تعویض ایمپلنت به عنوان راهکار نهایی در نظر گرفته می شود.
تکنولوژی های نوین در پیشگیری حساسیت

پیشرفت های فناوری، ابزارهای جدیدی برای کاهش حساسیت ارائه کرده اند:
- اسکنرهای داخل دهانی و CAD/CAM: طراحی دقیق پروتز و توزیع یکنواخت نیروها
- سطح ایمپلنت با پوشش نانویی: بهبود اتصال با استخوان و کاهش تحریک بافت
- نرم افزارهای پایش سلامت ایمپلنت: امکان شناسایی تغییرات بافت نرم یا تحلیل استخوان پیش از بروز حساسیت
آموزش بیمار و نقش مشارکت
آموزش بیمار نقش کلیدی در پیشگیری از حساسیت به ایمپلنت دارد. بیمار باید بداند که رعایت بهداشت، مراجعه منظم و اجتناب از عادات مخرب، مانند جویدن اجسام سخت یا فشار بیش از حد، تأثیر مستقیم بر سلامت ایمپلنت و کاهش خطر حساسیت دارد. همچنین اطلاع رسانی در مورد علائم هشداردهنده، مانند التهاب، خارش یا سوزش موضعی، امکان تشخیص و مداخله زودهنگام را فراهم می کند.
جمع بندی و توصیه های کلینیکی
حساسیت به ایمپلنت دندانی پدیده ای نادر اما بالینی مهم است که می تواند بر موفقیت درمان و رضایت بیمار اثر بگذارد. اگرچه شیوع آن کمتر از ۱٪ گزارش شده، تشخیص زودهنگام و پیشگیری علمی نقش تعیین کننده ای در کاهش عوارض دارد.
کاهش خطر حساسیت با انتخاب مواد زیست سازگار و استاندارد، ارزیابی دقیق سابقه پزشکی بیمار، رعایت بهداشت دهان، پیگیری منظم و استفاده از فناوری های نوین امکان پذیر است. مشارکت آگاهانه بیمار در مراقبت های پس از درمان نیز بخش جدایی ناپذیر این فرآیند محسوب می شود. در مجموع، ترکیب تصمیم گیری بالینی صحیح، مواد و فناوری مناسب و همکاری بیمار، کلید موفقیت و ماندگاری درمان ایمپلنت است.