مقایسه جامع بین هیلینگ و اباتمنت در ایمپلنت دندان و تفاوت ها
در روش درمانی ایمپلنت دندانی، دو قطعه کلیدی وجود دارد که ممکن است بسیاری از دندانپزشکان جوان و حتی تکنسین ها گاهی در کاربردشان دچار اشتباه شوند: هیلینگ و اباتمنت. دانستن تفاوت هیلینگ و اباتمنت نه تنها برای اجرای دقیق مراحل جراحی اهمیت دارد، بلکه روی زیبایی نهایی، سلامت بافت نرم و دوام فیکسچر تأثیر مستقیم می گذارد. در این مطلب از نگاه کلینیکی و تجهیزاتی، هرآنچه باید درباره این دو قطعه بدانید را مرور می کنیم.
نقش هیلینگ در بهبود بافت نرم و آماده سازی لثه
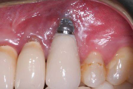
هیلینگ (Healing Abutment) قطعه ای موقتی است که بعد از قرار دادن فیکسچر روی ایمپلنت بسته می شود تا بافت نرم اطراف دهانه ایمپلنت به شکل طبیعی ترمیم پیدا کند. این قطعه موقتی به دندانپزشک کمک می کند مسیر عبور لثه و محل نهایی خروج تاج را کنترل کند.
در کلینیک ها معمولاً قبل از نصب هیلینگ، ناحیه با جرمگیر دندانپزشکی یا لیزر دندانپزشکی تمیز و ضدعفونی می شود تا از التهاب و آلودگی جلوگیری گردد. بسیاری از متخصصان ایمپلنت تأکید دارند که رعایت این مرحله، مهم ترین تفاوت بین درمان های موفق و درمان های همراه با عفونت است.
در این مرحله دندانپزشک باید مراقب باشد تا فشاری بیش از حد به لثه یا استخوان وارد نشود؛ به همین دلیل، استفاده از اینسترومنت دندانپزشکی مخصوص برای بستن یا باز کردن هیلینگ توصیه می شود. هرگونه فشار اشتباه ممکن است باعث تحلیل بافت یا جا به جایی فیکسچر شود.
کاربرد اباتمنت در مرحله نهایی پروتز

اباتمنت (Abutment) قطعه ای است که بعد از اتمام دوره ترمیم لثه، روی فیکسچر بسته می شود تا تاج یا روکش روی آن قرار گیرد. درک درست از تفاوت هیلینگ و اباتمنت در این مرحله اهمیت بالایی دارد؛ زیرا هیلینگ صرفاً نقش موقت دارد، اما اباتمنت پایه نهایی و دائمی برای انتقال نیرو است.
اباتمنت ها از نظر جنس به دو دسته اصلی تیتانیومی و زیرکونیایی تقسیم می شوند. در مواردی که زیبایی اهمیت بالایی دارد، اباتمنت زیرکونیا انتخاب بهتری است؛ اما برای روکش های فلزی یا ترمیم پی اف ام، نوع تیتانیومی عملکرد مطلوب تری دارد.
در برندهای جدید تجهیزات ایمپلنت، اباتمنت های زاویه دار (Angled Abutments) طراحی شده اند تا در شرایطی که محور فیکسچر با زاویه وارد استخوان شده، بتوان تاج را در موقعیت صحیح تر قرار داد. انتخاب این قطعات بدون آگاهی از تفاوت هیلینگ و اباتمنت ممکن است منجر به خطا در زاویه قرارگیری تاج شود.
انواع هیلینگ در بازار تجهیزات ایمپلنت
در فروشگاه های تجهیزات دندانپزشکی، هیلینگ ها در مدل های متنوعی عرضه می شوند:
- هیلینگ استوک (Stock): آماده و در اندازه های استاندارد
- هیلینگ سفارشی (Customized): طراحی شده متناسب با فرم خاص لثه بیمار
- هیلینگ PEEK یا تیتانیومی: بر اساس جنس و مقاومت در برابر فشار
تفاوت هیلینگ و اباتمنت
در این بخش به ذکر تفاوت های بین هیلینگ و اباتمنت از جنبه های مختلف خواهیم پرداخت.
از نظر ساختار و طراحی
هیلینگ و اباتمنت از نظر ظاهر شاید مشابه به نظر برسند، اما در ساختار و عملکرد تفاوت های زیادی دارند.
هیلینگ: معمولاً کوتاه تر است و سطح آن برای تماس با لثه طراحی شده است.
اباتمنت: ارتفاع و زاویه های متنوع دارد و سطح تماسش برای اتصال پروتز طراحی شده است.
تفاوت هیلینگ و اباتمنت در ایمپلنت فوری و تأخیری
در ایمپلنت فوری (Immediate Implant Placement)، هیلینگ بلافاصله پس از کاشت فیکسچر بسته می شود تا از تحلیل لثه جلوگیری شود. اما در ایمپلنت تأخیری، هیلینگ پس از چند ماه و بعد از تثبیت استخوان نصب می شود.

در هر دو حالت، اباتمنت تنها زمانی بسته می شود که شرایط بافت نرم و سخت کاملاً پایدار باشد. آگاهی از این تفاوت زمانی، بخش مهمی از تفاوت هیلینگ و اباتمنت در پروتکل های درمانی است.
تفاوت هیلینگ و اباتمنت از نظر جنس و متریال
جنس قطعه تأثیر زیادی بر دوام و سازگاری با بافت دارد.
هیلینگ های تیتانیومی مقاومت بالا و سازگاری زیستی خوبی دارند.
اباتمنت های زیرکونیایی برای نواحی قدامی (Front) مناسب ترند چون رنگ طبیعی تری دارند.
در انتخاب برندهای تجهیزات ایمپلنت باید دقت کرد تا جنس هر قطعه با فیکسچر هماهنگ باشد و دچار واکنش گالوانیکی نشود.
نکات فنی هنگام نصب و تنظیم اباتمنت
در زمان بستن اباتمنت، رعایت گشتاور دقیق با استفاده از ترنچ و تورک متر الزامی است. عدم رعایت مقدار گشتاور میتواند باعث شل شدن پیچ یا شکستگی فیکسچر شود. در این بخش، استفاده از پلاگر دندانپزشکی و ابزارهای کمکی برای اطمینان از فیت صحیح پیشنهاد می شود.
درک کامل تفاوت هیلینگ و اباتمنت به دندانپزشک کمک می کند تا تشخیص دهد در کدام مرحله از درمان، کدام قطعه باید بسته شود تا فشار اکلوزالی به درستی توزیع گردد.
اشتباهات رایج در استفاده از هیلینگ و اباتمنت
یکی از خطاهای متداول، تعویض مکرر این دو قطعه است. هر بار باز و بسته شدن، احتمال آسیب به بافت نرم یا نفوذ باکتری را افزایش می دهد. همچنین برخی دندانپزشکان به اشتباه اباتمنت را پیش از تکمیل ترمیم بافت نرم نصب می کنند که ممکن است باعث تحلیل استخوان شود.
در برخی کلینیک ها مشاهده شده که به دلیل استفاده از ابزار غیراستاندارد یا آلودگی ابزارها (مثلاً در اثر انگل دندانپزشکی یا استریل ناکافی)، اتصال قطعات به درستی انجام نمی شود. رعایت استریل دقیق و استفاده از پک های یک بارمصرف از این خطا جلوگیری می کند. همچنین، آشنایی با مقایسه جرمگیر و اسکیلر دستی اهمیت دارد؛ چون انتخاب ابزار مناسب در مرحله پاک سازی لثه اطراف ایمپلنت، نقش مهمی در پیشگیری از التهاب دارد و به حفظ ثبات بافت نرم اطراف هیلینگ کمک می کند.
اهمیت انتخاب برند و کیفیت ساخت
در خرید تجهیزات ایمپلنت، شناخت برند و نوع آلیاژ استفاده شده در ساخت هیلینگ و اباتمنت اهمیت زیادی دارد. تفاوت سطح صیقل، قطر پیچ، و نوع رزوه از جمله مواردی است که بر تطابق فیت و طول عمر قطعه تأثیر می گذارد.
توصیه می شود هنگام انتخاب، علاوه بر برند فیکسچر، هماهنگی دقیق با نوع اباتمنت را بررسی کنید تا از مشکلات احتمالی در اتصال جلوگیری شود. این هماهنگی درواقع یکی از مهم ترین بخش های تفاوت هیلینگ و اباتمنت در طراحی است.
مراقبت و نگهداری پس از درمان
مراقبت از ایمپلنت فقط محدود به مرحله جراحی نیست. پس از نصب اباتمنت و تاج، پاک سازی منظم با جرمگیر اولتراسونیک یا لیزر کم توان توصیه می شود. تمیز کردن اطراف هیلینگ نیز قبل از نصب روکش ضروری است. در غیر این صورت، باکتری ها ممکن است به عمق بافت نفوذ کنند و موجب التهاب شوند.
در آموزش های کلینیکی جدید، حتی استفاده از لیزر دندانپزشکی برای ضد عفونی و تسریع ترمیم بافت نرم پیشنهاد شده است. رعایت این موارد تفاوت چشمگیری در نتیجه نهایی ایجاد می کند و یکی از دلایل واقعی در موفقیت یا شکست درمان است؛ همان نکته ای که در تعریف دقیق تفاوت هیلینگ و اباتمنت نیز باید به آن اشاره کرد.
عوارض استفاده از هیلینگ به جای اباتمنت

در برخی مواقع ممکن است از هیلینگ به جای اباتمنت استفاده شود. در این بخش به ذکر مشکلات ایجاد شده در صورت وقوع چنین امری می پردازیم. آگاهی از این عوارض باعث دقت هر چه بیشتر در حین درمان های دندانپزشکی خواهد شد.
تحلیل بافت نرم و تغییر فرم لثه
هیلینگ برای شکل دهی موقت بافت نرم طراحی شده، نه تحمل نیروهای اکلوژال. اگر برای مدت طولانی به جای اباتمنت باقی بماند، لثه اطراف آن ممکن است دچار تحلیل، التهاب یا تغییر فرم شود. سطح صیقل نشده هیلینگ و رزوه باز آن، باکتری را راحت تر جذب می کند و تماس طولانی مدت با لثه می تواند چسبندگی بافت را مختل کند.
افزایش ریسک عفونت و التهاب اطراف ایمپلنت
از آنجا که هیلینگ اباتمنت در اصل برای فاز ترمیم طراحی شده، مهر و موم بافتی کاملی مثل اباتمنت دائمی ایجاد نمی کند. این موضوع باعث نفوذ پلاک و رشد میکروارگانیسم ها در شیار لثه می شود. در این شرایط حتی جرمگیر دندانپزشکی یا لیزر دندانپزشکی هم ممکن است نتوانند عفونت را کاملاً کنترل کنند. در نتیجه، التهاب مزمن اطراف ایمپلنت یا «Peri-implantitis» یکی از شایع ترین عوارض استفاده نادرست از هیلینگ است.
شل شدن فیکسچر و از دست رفتن ثبات مکانیکی
هیلینگ معمولاً با گشتاور پایین تری نسبت به اباتمنت بسته می شود. اگر این قطعه برای تحمل نیروهای جویدن مورد استفاده قرار گیرد، احتمال شل شدن پیچ یا آسیب به رزوه فیکسچر بسیار زیاد است. در مواردی حتی ممکن است فیکسچر در استخوان دچار میکروحرکت شود که مستقیماً به شکست ایمپلنت منجر خواهد شد. آگاهی از این بخش از تفاوت هیلینگ و اباتمنت برای پیشگیری از چنین آسیب هایی ضروری است.
تأثیر منفی بر نتیجه ترمیم پروتزی
در مواردی که ترمیم نهایی مانند ترمیم پی اف ام روی هیلینگ انجام شود، به دلیل فقدان تطابق دقیق سطح و زاویه، فشارهای نامنظم به پروتز و ایمپلنت منتقل می شود. در نتیجه احتمال لب پر شدن سرامیک، شکستگی پروتز یا حتی آسیب به ساختار داخلی اباتمنت افزایش می یابد.
مشکلات زیبایی در نواحی قدامی
در بخش های قدامی فک که زیبایی اهمیت بالایی دارد، استفاده اشتباه از هیلینگ به جای اباتمنت باعث کاهش پشتیبانی بافت نرم و تغییر رنگ لثه می شود. این وضعیت به ویژه زمانی رخ می دهد که هیلینگ فلزی تیتانیومی در تماس مستقیم با لثه نازک باشد و باعث سایه خاکستری در ناحیه گردن دندان شود. دندانپزشکان با تجربه با شناخت تفاوت هیلینگ و اباتمنت، از این مشکل جلوگیری می کنند.
دشواری در فیت نهایی پروتز و افزایش زمان درمان
زمانی که هیلینگ برای مدت طولانی باقی بماند، بافت نرم اطراف آن فرم غیرطبیعی پیدا می کند. در این حالت هنگام نصب اباتمنت نهایی، پزشک ممکن است نیاز به اصلاح یا حتی برش مجدد بافت داشته باشد. این فرآیند با استفاده از ابزارهای جراحی مانند پلاگر دندانپزشکی و سایر اینسترومنت دندانپزشکی انجام می شود و میتواند موجب ناراحتی بیمار و افزایش هزینه درمان شود.
تأثیر منفی بر سلامت استخوان کرستال
در اثر نفوذ باکتری و التهاب مزمن اطراف هیلینگ، احتمال تحلیل استخوان کرستال اطراف فیکسچر افزایش می یابد. این تحلیل استخوانی، پایه ایمپلنت را تضعیف کرده و حتی ممکن است نیاز به تعویض کل فیکسچر ایجاد کند. دندانپزشکان با تجربه با استفاده از تجهیزات ایمپلنت استاندارد و رعایت اصول دقیق نصب، از این آسیب پیشگیری می کنند.
نتیجه گیری
در نهایت باید گفت که تفاوت هیلینگ و اباتمنت تنها در شکل ظاهری نیست، بلکه در عملکرد، زمان استفاده و هدف بالینی آنهاست. هیلینگ برای شکل دهی و محافظت از بافت نرم به کار می رود، درحالی که اباتمنت برای انتقال نیرو و ایجاد پایه ای مطمئن برای تاج نهایی طراحی شده است. انتخاب درست، استفاده از تجهیزات ایمپلنت استاندارد، رعایت بهداشت ابزارها و توجه به جزئیات فنی مانند گشتاور بستن پیچ ها و هماهنگی بین برند ها، می تواند ماندگاری و زیبایی درمان را تضمین کند.