علت سیاه شدن لثه بعد از ایمپلنت دندان
ایمپلنت های دندانی در حال حاضر یکی از درمان های استاندارد برای جایگزینی دندان از دست رفته محسوب می شوند. موفقیت این درمان نه تنها به یکپارچگی استخوان و پایداری ایمپلنت وابسته است، بلکه سلامت و زیبایی بافت نرم اطراف آن نیز نقش تعیین کننده دارد. یکی از مشکلاتی که گاهی پس از قرارگیری ایمپلنت مشاهده می شود، سیاه شدن لثه بعد ایمپلنت است. این تغییر رنگ علاوه بر اثر منفی بر زیبایی لبخند، می تواند نشانگر تغییرات پاتولوژیک در بافت نرم یا سخت پیرامون ایمپلنت باشد. این مقاله به طور جامع به بررسی علل، تشخیص و درمان سیاه شدن لثه بعد ایمپلنت پرداخته و توصیه های علمی و کاربردی برای کلینیسین ها ارائه می دهد.
علل سیاه شدن لثه بعد ایمپلنت
از دیدگاه بالینی، تشخیص افتراقی دقیق اهمیت زیادی دارد زیرا تیرگی لثه می تواند علل گوناگونی داشته باشد؛ از تجمع ذرات فلزی و اثر اپتیکی اباتمنت گرفته تا ملانوز اندوژن یا التهاب ناشی از پری ایمپلنتیت. توجه به این موضوع تنها یک دغدغه زیبایی نیست، بلکه گاهی هشداری بالینی برای حضور التهاب مزمن، خوردگی سطح ایمپلنت یا نکروز بافت نرم است. بنابراین دندانپزشکان باید با عوامل مختلف مؤثر بر این تغییر رنگ آشنا باشند، بتوانند روش های تشخیصی مناسب را انتخاب کنند و در نهایت بر اساس علت، بهترین راهکار درمانی یا پیشگیرانه را پیشنهاد دهند.
علل مرتبط با مواد و ایمپلنت
یکی از شایع ترین علل سیاه شدن لثه بعد ایمپلنت آزاد شدن ذرات تیتانیوم از سطح ایمپلنت یا اباتمنت است. تیتانیوم به دلیل مقاومت بالای خوردگی انتخاب استانداردی برای ایمپلنت محسوب می شود، اما در شرایط خاص مانند تغییر pH محیط، اصطکاک مکانیکی یا وجود بیوفیلم می تواند دچار تخریب سطحی شود. این فرآیند منجر به رهایش ذرات یا یون های فلزی شده و تجمع آن ها در مخاط اطراف ایمپلنت می تواند تیرگی بافتی ایجاد کند.
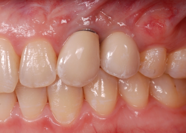
همچنین اثر اپتیکی اباتمنت تیتانیومی در مخاط نازک یکی دیگر از دلایل مشاهده تیرگی است. در بیمارانی که ضخامت لثه کمتر از ۲ میلی متر است، رنگ خاکستری اباتمنت به راحتی از میان بافت عبور کرده و باعث تغییر رنگ لثه می شود. از نظر بالینی، افتراق بین تغییر رنگ ناشی از ذرات فلزی و تیرگی اپتیکی اهمیت زیادی دارد، زیرا مسیر درمانی متفاوت خواهد بود. در حالت اول ممکن است نیاز به بررسی هیستولوژیک و حذف عامل التهابی باشد، در حالی که در حالت دوم اصلاح پروتز یا تقویت بافت نرم کفایت می کند. بنابراین آگاهی از این مکانیزم ها به دندانپزشک کمک می کند تا علت اصلی سیاه شدن لثه بعد ایمپلنت را به درستی شناسایی کند.
علل مرتبط با بافت و شرایط موضعی

بافت نرم اطراف ایمپلنت نقش کلیدی در ایجاد یا پیشگیری از تغییر رنگ دارد. اگر ضخامت لثه کم باشد یا مخاط دچار تحلیل شود، زمینه برای نمایان شدن رنگ فلز یا بروز تیرگی بیشتر فراهم می شود. در چنین شرایطی حتی اباتمنت استاندارد تیتانیومی هم می تواند از پشت مخاط نازک دیده شود و بهصورت «هاله خاکستری» ظاهر شود. یکی دیگر از عوامل مهم، نکروز بافتی ناشی از تروما یا اختلال در خون رسانی است. در برخی موارد، فشار بیش از حد پروتز یا جراحی خشن می تواند باعث اختلال در جریان خون موضعی شده و در نهایت تغییر رنگ تیره یا سیاه شدن لثه را به همراه داشته باشد.
از سوی دیگر، بیماری پری ایمپلنتیت نقش مهمی در سیاه شدن لثه بعد ایمپلنت دارد. این بیماری التهابی با تخریب بافت نرم و سخت اطراف ایمپلنت همراه است و می تواند در مراحل پیشرفته به نکروز بافتی یا تغییر رنگ تیره منجر شود. بیمارانی که بهداشت دهانی ضعیفی دارند یا سابقه بیماری پریودنتال دارند، بیشتر در معرض این تغییرات هستند. بنابراین بررسی وضعیت بافت نرم، عمق پاکت، خونریزی حین پروبینگ و علائم التهابی باید در ارزیابی هر مورد تغییر رنگ لثه لحاظ شود. توجه به این علل موضعی به دندانپزشک کمک می کند تا بین تیرگی ناشی از عوامل مکانیکی یا اپتیکی و تغییر رنگ ناشی از فرآیندهای پاتولوژیک تمایز قائل شود و برنامه درمانی متناسب انتخاب کند.
علل اگزوژن (عوامل خارجی)
عوامل خارجی نیز می توانند در ایجاد سیاه شدن لثه بعد ایمپلنت نقش داشته باشند. یکی از شایع ترین مثال ها «تاتو آمالگام» است. در مواردی که دندان مجاور قبلاً با آمالگام ترمیم شده یا در حین تراش و جراحی ذرات آمالگام وارد مخاط شوند، رسوب ذرات فلزی در لثه باعث ایجاد لکه های تیره یا سیاه خواهد شد. این لکه ها معمولاً مرز مشخصی دارند، بدون درد و پایدار هستند و ممکن است با تیرگی ناشی از ایمپلنت اشتباه گرفته شوند.
بهعلاوه، نفوذ ذرات فلزی ناشی از ابزارهای جراحی، پروتزهای فلزی یا حتی وسایل ارتودنسی نیز می تواند عامل تیرگی باشد. این موارد بیشتر بهصورت لکه های موضعی دیده می شوند و گاهی بافت اطراف هیچ علامت التهابی خاصی ندارد.
اهمیت این موضوع برای دندانپزشک در تشخیص افتراقی است، زیرا درمان تاتو آمالگام یا ذرات خارجی متفاوت از مدیریت مشکلات ایمپلنت است. در چنین شرایطی ممکن است صرفاً برداشت ضایعه یا پیگیری بدون مداخله کافی باشد. بنابراین همیشه هنگام مواجهه با بیمارانی که از سیاه شدن لثه بعد ایمپلنت شکایت دارند، باید سابقه ترمیمی و نوع مواد مورد استفاده در ناحیه بررسی شود تا علت خارجی احتمالی در نظر گرفته شود.
علل اندوژن (عوامل درونی بیمار)
برخی از بیماران مستعد تیرگی لثه به دلیل شرایط ذاتی یا بیماری های زمینه ای هستند. یکی از این موارد «ملانوز فیزیولوژیک» است که در افراد با رنگ دانه بیشتر در مخاط دهان دیده می شود. در چنین شرایطی وقتی ایمپلنت کار گذاشته می شود، کنتراست رنگی می تواند باعث شود تیرگی طبیعی لثه بیشتر به چشم بیاید. سیگار نیز یک عامل مهم است؛ نیکوتین و مواد شیمیایی دخانیات باعث تحریک تولید ملانین در مخاط دهان می شوند و تیرگی اطراف ایمپلنت را تشدید می کنند. در نتیجه بیماران سیگاری بیشتر از سایرین از سیاه شدن لثه بعد ایمپلنت شکایت دارند.
همچنین مصرف برخی داروها می تواند موجب پیگمانتاسیون شود. برای مثال، آنتی بیوتیک هایی مانند مینوسایکلین یا داروهای حاوی فلزات سنگین می توانند رنگ لثه را تغییر دهند. از طرفی، برخی بیماری های سیستمیک مانند بیماری آدیسون نیز با افزایش پیگمانتاسیون مخاط دهان همراه هستند. بنابراین در بررسی هر مورد سیاه شدن لثه، دندانپزشک باید علاوه بر عوامل موضعی، وضعیت عمومی بیمار و داروهای مصرفی او را نیز مدنظر قرار دهد. این نگاه جامع کمک میکند تا علت اصلی تغییر رنگ مشخص شود و از اقدامات درمانی غیرضروری جلوگیری گردد.
راه های تشخیص سیاه شدن لثه بعد ایمپلنت

تشخیص صحیح، کلید مدیریت مؤثر است. دندانپزشک در اولین گام باید معاینه بالینی دقیق انجام دهد و محل، وسعت و نوع تغییر رنگ را مستند کند. بررسی سابقه پزشکی، دارویی و ترمیم های قبلی اهمیت زیادی دارد زیرا می تواند به افتراق بین علل اندوژن و اگزوژن کمک کند. گام بعدی انجام بررسی های بیماری پریودنتال است؛ عمق پاکت، خونریزی هنگام پروبینگ و وجود التهاب می تواند نشانگر پری ایمپلنتیت باشد.
رادیوگرافی یکی دیگر از ابزارهای ضروری است. در صورتی که ذرات فلزی یا تحلیل استخوان وجود داشته باشد، تصویر رادیوگرافی به تشخیص کمک می کند. در مواردی که علت تغییر رنگ مشخص نشود، بیوپسی و بررسی بافت شناسی توصیه می شود. نمونه برداری می تواند وجود ذرات تیتانیوم، واکنش التهابی یا افزایش ملانین را نشان دهد. استفاده از ابزارهای دیجیتال رنگ سنجی و تصویربرداری رادیوگرافی استاندارد نیز برای پیگیری شدت تیرگی در طول درمان مفید است. در نهایت ترکیب داده های بالینی، رادیوگرافی و هیستولوژی، مسیر تشخیصی دقیق را برای علت یابی سیاه شدن لثه بعد ایمپلنت فراهم می کند و به دندانپزشک اجازه می دهد بهترین گزینه درمانی را انتخاب کند.
روشهای درمان سیاه شدن لثه بعد ایمپلنت
همانطور که خواندید سیاه شدن لثه در اطراف ایمپلنت دندان، یکی از نگرانی های زیبایی و سلامت است. این تغییر رنگ نه تنها بر زیبایی لبخند تأثیر می گذارد، بلکه در برخی موارد می تواند نشان دهنده مشکلات زمینه ای در سلامت بافت نرم پیرامون ایمپلنت باشد. خوشبختانه با پیشرفت های دندانپزشکی، روش های متعددی برای تشخیص علت و درمان این عارضه در دسترس است. در ادامه، به بررسی مؤثرترین تکنیک های درمانی از روش های محافظه کارانه تا جراحی های تخصصی لثه خواهیم پرداخت.
درمان های غیرجراحی
در بسیاری از موارد می توان بدون مداخلات وسیع، مشکل تیرگی لثه را اصلاح کرد. یکی از راهکارهای اصلی تعویض اباتمنت تیتانیومی با اباتمنت سرامیکی (زیروکیا) است که رنگ سفیدتری دارد و در مخاط نازک ظاهر طبیعی تری ایجاد می کند. در مواردی نیز استفاده از اباتمنت های آنودایزد با رنگ طلایی یا صورتی می تواند کمک کننده باشد. افزایش ضخامت مخاط از طریق پیوند بافت نرم یا استفاده از مواد بیولوژیک نیز راهکار مؤثری است، زیرا بافت ضخیم تر تیرگی زیرین را پنهان می کند.
از سوی دیگر، اصلاح طراحی پروتز و انتخاب رنگ لبه های پروتز به گونه ای که با رنگ مخاط هماهنگ باشد نیز اهمیت دارد. گاهی تغییرات ساده در شکل و موقعیت لبهٔ پروتز می تواند به طور چشمگیری تیرگی را کاهش دهد. بنابراین در صورتی که سیاه شدن لثه بعد ایمپلنت ناشی از عوامل اپتیکی یا نازکی مخاط باشد، درمان های غیرجراحی معمولاً مؤثر بوده و نیاز به برداشت بافت یا جراحی وسیع وجود ندارد.۳
درمان های جراحی
زمانی که تغییر رنگ ناشی از رسوب ذرات فلزی یا نکروز بافتی باشد، درمان های جراحی اجتناب ناپذیرند. برداشت ضایعه یا بافت رنگ دانه دار به کمک کیت جراحی یکی از روشهاست که در صورت محدود بودن تیرگی، به راحتی انجام میشود. در مواردی که سیاه شدن وسیع باشد یا مخاط تحلیل رفته باشد، پیوند بافت نرم (مانند پیوند بافت همبند از کام) بهترین راهکار است. این روش علاوه بر پوشاندن تیرگی، ضخامت مخاط را افزایش می دهد و زیبایی طولانی مدتی ایجاد می کند.
اگر تیرگی همراه با علائم پری ایمپلنتیت باشد، درمان جراحی بازسازی ضرورت پیدا می کند. پاکسازی کامل سطح ایمپلنت، حذف بافت گرانولیشن و بازسازی استخوان یا بافت نرم بخشی از این پروتکل است. در برخی موارد شدید که ایمپلنت دچار لقی یا تحلیل وسیع استخوان شده است، خارج کردن ایمپلنت تنها راه باقی مانده است. به همین دلیل، تصمیم گیری برای جراحی باید بر اساس شدت ضایعه، نیاز زیبایی بیمار و پیش آگهی ایمپلنت صورت گیرد.
اصلاح عوامل سیستمیک و سبک زندگی
برخی از موارد سیاه شدن لثه بعد ایمپلنت تنها با اصلاح عادات یا شرایط بیمار کنترل می شوند. برای مثال، ترک سیگار می تواند به طور قابل توجهی در کاهش پیگمانتاسیون لثه مؤثر باشد. در بیمارانی که داروهای پیگمانتزا مصرف می کنند، مشاوره با پزشک معالج و در صورت امکان جایگزینی دارو توصیه می شود. مدیریت بیماری های سیستمیک مانند آدیسون نیز اهمیت دارد زیرا پیگمانتاسیون مرتبط با آن ممکن است در مخاط دهان پایدار باشد. بنابراین دندانپزشک باید نگاه جامع تری داشته باشد و در صورت لزوم بیمار را برای کنترل بیماری های زمینه ای به پزشک متخصص ارجاع دهد.
راهکارهای پیشگیری

پیشگیری بهترین راه برای اجتناب از سیاه شدن لثه بعد ایمپلنت است. انتخاب صحیح اباتمنت بر اساس ضخامت مخاط اهمیت زیادی دارد؛ در نواحی زیبایی، استفاده از اباتمنت های آنودایزد به جای تیتانیوم ساده توصیه می شود. تکنیک جراحی نیز باید محافظه کارانه باشد تا آسیب کمتری به بافت نرم برسد. تقویت بافت نرم با پیوند یا مواد جایگزین قبل از قرار دادن اباتمنت دائمی یکی دیگر از راهکارهای کلیدی است.
از طرفی، آموزش به بیمار برای رعایت بهداشت دهان و مراجعه منظم جهت بررسی وضعیت ایمپلنت بسیار مهم است. کنترل باکتری دهان و جلوگیری از التهاب اطراف ایمپلنت باعث کاهش احتمال پریایمپلنتیت و در نتیجه تغییر رنگ میشود. همچنین دندانپزشکان باید هنگام انتخاب مواد ترمیمی و پروتزی دقت کنند تا احتمال نفوذ ذرات فلزی یا ایجاد تاتو به حداقل برسد. با رعایت این اصول، بروز سیاه شدن لثه بعد ایمپلنت بهطور قابل توجهی کاهش مییابد و زیبایی و سلامت بافت نرم پایدارتر خواهد بود.
نتیجه گیری
سیاه شدن لثه بعد ایمپلنت یک علامت بالینی با علل متنوع است؛ از عوامل مکانیکی و اپتیکی گرفته تا تغییرات التهابی، ذرات فلزی و شرایط سیستمیک. تشخیص صحیح بر پایه معاینه، رادیوگرافی و در صورت نیاز بیوپسی، اساس درمان موفق محسوب می شود. انتخاب روش درمان باید بر اساس علت باشد؛ در موارد اپتیکی، تعویض اباتمنت یا تقویت بافت نرم کفایت می کند، اما در موارد التهابی یا نکروتیک ممکن است مداخلات جراحی لازم شود. اصلاح عادات بیمار و پیشگیری با انتخاب صحیح مواد و تکنیک جراحی نیز اهمیت ویژه ای دارد. در نهایت، نگاه دندانپزشک به سیاه شدن لثه بعد ایمپلنت نباید صرفاً زیبایی باشد، بلکه باید آن را بهعنوان شاخصی از سلامت بافت نرم و سخت در نظر گرفت و براساس آن، مدیریت جامع و چندوجهی ارائه داد.